Unusual Brain Adaptations
Science for the Public: Contemporary Science Issues and Innovations
May 30, 2023, Belmont Media Center
Rescheduled from 04/11/23
Evelina Fedorenko, Ph.D., Middleton CD Associate Professor of Neuroscience; Investigator, McGovern Institute for Brain Research, Massachusetts Institute of Technology. Ev Fedorenko Lab at MIT
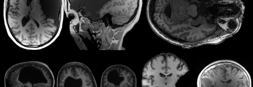
Dr. Fedorenko's lab specializes in unusual language-related brain adaptations and capacities. She discusses a case of first language acquisition despite the absence of the left temporal lobe, a brain region necessary for language development and processing. In this case, the right brain compensated for the missing left brain region. And the child proved exceptional in language skill. Dr. Fedorenko also describes other cases in her lab's Interesting Brains Project.
2025 MIT News article about Dr. Fedorenko
Looking under the hood at the brain’s language system

